KAROTİS ARTER HASTALIĞI TANI VE TEDAVİSİ
Hastalığın tanısı, hasta veya yakınlarından alınan bilgiler, hekim muayenesi ve laboratuar testler ile konulur. Hastanın şikayetleri ve risk faktörleri değerlendirilir.

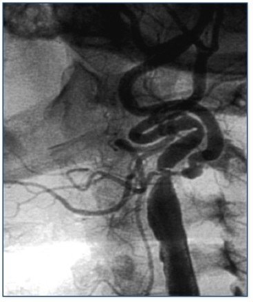
Karotis arter hastalığının tanısında en sık kullanılan testlerin başında karotis ultrason gelmektedir. Karotis ultrason ile darlığın yapısı ve ciddiyeti hakkında bilgi edinilir. Eğer karotis ultrason yetersiz kalır veya ciddi darlık saptanırsa müdehale öncesinde karotis anjiografisi yapılır.

Resim. Karotis anjioda darlık
Karotis arter hastalığı tedavisi
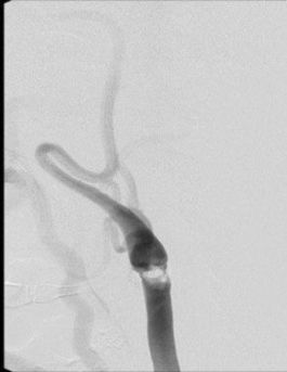
Karotis arter hastalığı tedavisi; yaşam tarzı değişiklikleri, ilaç ve tıbbi prosedürleri içermektedir. Yaşam tarzı değişiklikleri ile hastalığı önlemek ya da daha kötüye gitmesini engellemek amaçlanmaktadır. Hastaların bir kısmında yaşam tarzı değişiklikleri ile bu risk faktörleri kontrol edebilir. Ancak bazılarında kontrolü sağlamak ve sürdürmek için ilaç tedavisine ihtiyaç duyarız. İlaç tedavisinde sıklıkla tansiyonu, yağları ve şekeri kontrol altında tutan ilaçlar kullanılmaktadır. İlaç tedavisinin en önemli unsurlarından birisini de pıhtı oluşumunu engelleyen asprin ve benzeri ilaçlar oluşturmaktadır. Eğer bir kan pıhtısı nedeniyle inme varsa, bir pıhtı çözücü ilaç verilebilir. Bu tür bir ilaçlar semptomlar başladıktan sonraki ilk 4 saat içinde verilmelidir. Ciddi karotis darlığının tedavisinde, darlığın lokalizasyonu ve yapısal özelliklerine bağlı olarak cerrahi tedavi veya anjioplasti /stent uygulanabilir.

Resim: Karotis darlığında stent uygulaması
Stent için uygun olmayan cerrahi tedavi gerektiren hastalar
1. Ana karotis arter çıkışında büklümlü olması

2. İnternal karotis çıkışında 90 derecelik açılanma
3. Hem İnternal, hem de eksternal karotis’de ciddi darlık

4. İnternal karotisin sağa açılı çıkışı
5. Ana ve İnternal/Eksternal karotis stenozu
6. İnternal karotiste ‘de 3 loop

7. Yoğun kalsifikasyon
8. Dolma defekti


Karotis arter darlıklarında cerrahi endikasyonlar
-
Asemptomatik %70 darlık
-
Takiplerde lezyonlarda progresyon
-
Ülsere lezyonlar
-
Karşı taraf karotis tıkanıklığı
-
Aynı tarafta sessiz infarkt
-
Geçici iskemik atak veya inme geçiren hastada %50’nin üzerinde darlık varsa endarterektomi gerekir.
Karotis hastalığında cerrahi tedavi (Karotis endarterektomi)
Boyuna karotis damar üzerindeki cildin 5cm'lik kısmına lokal anestezi uygulanır. Daha sonra 4-5cm'lil kesiden damara ulaşılır. Damar duvarı açılır ve damar içerisindeki plak çıkartılarak damar direk veya yama konularak kapatılır. Ortalama operasyon süresi 1.5-2 saat civarındadır.
Operasyon sonrası hasta 2-3 gün takip edildikten sonra taburcu edilir.




Resim 1,2. Karotis endarterektomi (Karotis damar içerisinden plak çıkarımı)
Operasyon sonrası çok nadir olarak kanama (%0,5-1), inme, boyunda hematom (pıhtı birikimi) gibi komplikasyonlar nadir olarak gelişebilmektedir.
Cerrahi operasyon ile inme riski %2’ye kadar düşürülmektedir.
Dr.İlhan Gölbaşı