TORASİK ÇIKIŞ SENDROMU (OMUZ KAPANI)
OMUZ, KOL VE GÖĞÜS AĞRISI VE UYUŞULUĞU’NUN EN ÖNEMLİ NEDENİ
Kolların atar damarı, toplardamarı ve sinirleri göğüs boşluğundan köprücük kemiği ile birinci kaburga arasından çıkarlar.
Bu iki kemik arasında damar veya sinirlerin sıkışmasına bağlı olarak bu sendrom gelişir. Bu sendromun %95 nedenini sinir, %5’ini ise damar sıkışması oluşturur. Damar sıkışmalarının %2’si atardamar, %3’ü ise toplardamar sıkışmasına bağlı gelişmektedir. Olguların %60’ çift taraflı olarak görülmektedir.

Bu sendrom genel olarak 35 yaş üzerindeki bayanlarda daha fazla olmak üzere genel olarak toplumun %5-8’inde görülmektedir. Bunun en önemli sebebini kadınlardaki kas yapısındaki zayıflık ve göğüslerin aşağı çekmesinden kaynaklanmaktadır.
Torasik çıkış sendromunun nedenleri;
- Doğuştan bu bölgeyi sıkıştıran kemik, bant veya kas yapıları
- Bu bölgeye yönelik travmalar
- Uzun süreli kollar yukarda iş yapanlar (voleybolcu, öğretmen vs.)
- Uzun süre öne eğik pozisyonda çalışan kimseler
- Kronik travma etkisi yapan sporlar (Yüzme, tenis ve güreş vs)
- Uzun süre sırt çantası taşıyan kimselerde
- Keman çalanlarda
- Duruş bozukluğu olan kimselerde
- Boyun kaslarında çok büyümeye neden olan ağır egzersizler
Torasik çıkış sendromunda klinik bulgular
1. Sinir sıkışmasına bağlı olarak,
-Kolda, omuzda ve göğüs ön duvarında ağrı gelişmektedir.
-Kolda ve özellikle 3.-4. ve 5. parmaklarda uyuşukluk gelişmektedir.
-İlerlemiş kronik olgularda kol adelelerinde zayıflama görülmektedir.
-Hastalarda sıklıkla kolların yukarı kaldırılmasını gerektiren işlerde (çamaşır sermek vs) tahammülsüzlük gelişmektedir.
2. Atardamar sıkışan hastalarda;
-Ellerde soğukluk, solukluk ve ağrı görülür. Bazen parmak uçlarında ülsere yaralar gelişmektedir. Soğuk havaya karşı tolerans bozulur.
3. Toplardamarı sıkışan hastalarda;
-Kolda ve parmaklarda ödem gelişir.
Torasik çıkış sendromunda tanı
Torasik çıkış sendromunun tanısı oldukça zordur. Hasta şikayetleri ve klnik muayene bulguları mutlaka görüntüleme yöntemleri ve elektrofizyolojik çalışmalar ile desteklenmelidir. Hastalarda mutlaka basıya uğrayan yapıların, bası düzeyinin belirlenmesi gerekmektedir.

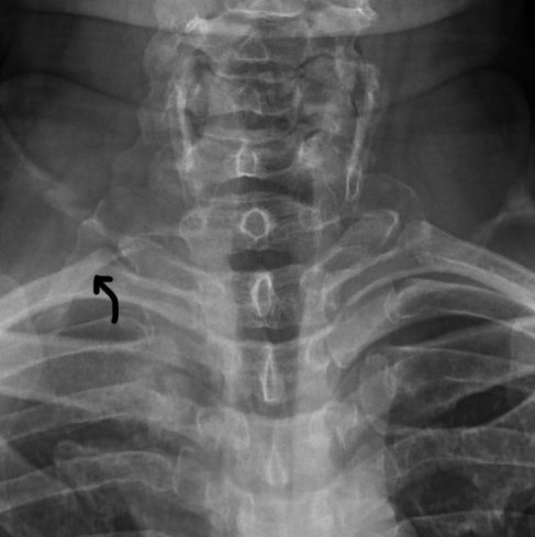
-Direk boyun grafisi: doğuştan fazlada kemik varlığı araştırılır

Resim. Çıkış bölgesini sıkıştıran boyun omurundan gelen kemik yapı
-MR: damar ve sinirlerin geçiş bölgelerindeki bant veya benzeri yapılar araştırılır.
-Doppler ultrason: damarlardaki darlıklar görülür
-Anjiografi: atardamarlar değerlendirilir
-Venografi: toplardamarlar değerlendirilir.

Resim: Torasik çıkış sendromunda ven basısı
-EMG: sinir basısı değerlendirilir (Ulnar sinir ileti hızı ölçülür)
Torasik çıkış sendromunda tedavi
-Konservatif tedavi
-Cerrahi tedavi
Konservatif tedaviler ile 1. kaburga ile köprücük kemiği arasındaki mesafeyi artırmak amaçlanır.
Bunda öncelikle vücudun düz durması temin edilmelidir. Omuz kaslarını güçlendirecek egsersizlerin yapılması ve boyun adelelerinin gevşetilmesi temin edilir.
Konservatif tedaviden fayda görmeyen ve şikayetleri çok fazla olan hastalarda cerrahi tedavide uygulanabilmektedir.
Cerrahi tedavide koltuk altından 5-6cm’lik kesiden birinci kabulga çıkartılarak sinir ve damarların geçtiği aralık genişletilir.
Dr.İlhan Gölbaşı